9岁女孩乐乐从小身体比较差,个子也比同龄的孩子矮小,最近偶尔有便秘,肚子痛的情况,父母都在外工作,照顾她的爷爷奶奶很是着急。眼看着最近两天腹痛越来越严重,爷爷奶奶赶紧带乐乐到当地卫生院就诊,卫生院对乐乐进行彩超提示腹腔内有一个大包块。
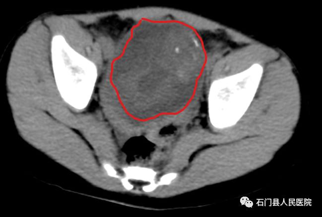
家人吓坏了,赶紧带乐乐来我院就诊,在我院进行腹部CT和腹部彩超,提示盆腔内有一个巨大肿块,考虑卵巢肿瘤,建议住院手术治疗。
收治入我院妇科22病区后,病区主任周美浓集合科室全体医师行疑难病例讨论,结合乐乐的辅助检查资料,考虑右侧卵巢卵黄囊瘤可能性大。
患儿年纪小,且身材及体重均落后同龄儿,为确保安全,手术前,妇科请儿科、麻醉科等科室详细沟通讨论,共同商讨术中补液、麻醉方案。
做好充分术前准备后,妇科团队为乐乐进行了手术。术中发现右附件有一直径约7厘米大小的包块,椭圆形,表面光滑无赘生物,无破口,右附件扭转180度,行开腹右附件切除术+大网膜活检。
△妇科团队正在进行手术。右图为术中取出的巨大肿瘤。
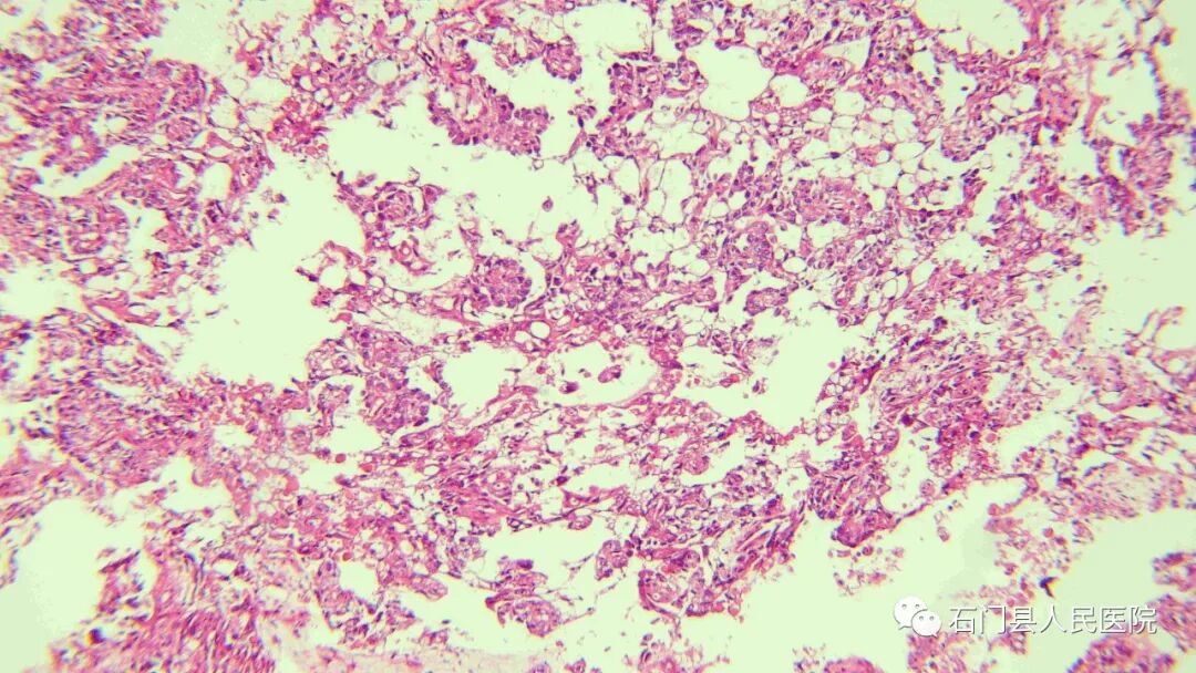
我院病理科接到标本后,迅速进行术中冰冻诊断,结果为恶性肿瘤。术后病理科诊断医师巨检见右侧卵巢大小约6×5×4cm,囊实性肿块,可见油脂。镜下小部分区域见不典型的疏松网状结构、內胚窦小体(S-D小体,肾小球样血管袢)、圆形或者卵圆形的嗜酸性透明小体、成熟的软骨及呼吸道黏膜腺上皮和鳞状上皮组织等,结合免疫标记AFP(+)及较高的细胞增殖指数Ki67表达和其他相关肿瘤标记表达阴性,结合组织形态学明确诊断为混合性生殖细胞肿瘤,主要成分为卵黄囊瘤,合并部分成熟性囊性畸胎瘤。
据病理科主任谢深科介绍,卵黄囊瘤又名内胚窦瘤,临床较罕见,合并成熟性囊性畸胎瘤的病例更加罕见,所以诊断难度大。我院病理科抽丝剥茧、正确诊断,为小女孩后续治疗提供了有力的根据。这也是我院病理科独立建科近30年来诊断的石门县的首例卵黄囊瘤患者。
术后病检证实为卵黄囊瘤后,下一步的治疗就成了关键。
因患儿年龄小、发育落后,化疗风险高,与患者家属商议再三,患者家属决定在我院行术后化疗。医务科立即组织妇科、肿瘤科进行大会诊,共同商讨化疗方案及风险。
经过一个疗程的规范化疗,乐乐目前已好转出院,家属对我院医疗团队表达了再三感谢。

石门县人民医院是湘西北地区集医疗、预防、保健、康复、教学、科研于一体的大型县域三级综合医院,系长沙医学院附属医院、国际爱婴医院、卫生部国际紧急救援中心网络医院和中国健康扶贫工程定点医院,拥有全国百佳医院、全国百姓放心示范医院、全国精神文明建设工作先进单位、全国模范职工之家等九张国家级名片。

官方微博

官方微信
Copyright©石门县人民医院.All Rights Reserved 湘ICP备13007174-1号 网站建设:大湘正食网络技术开发部(WWW.BIGBIGOK.COM)