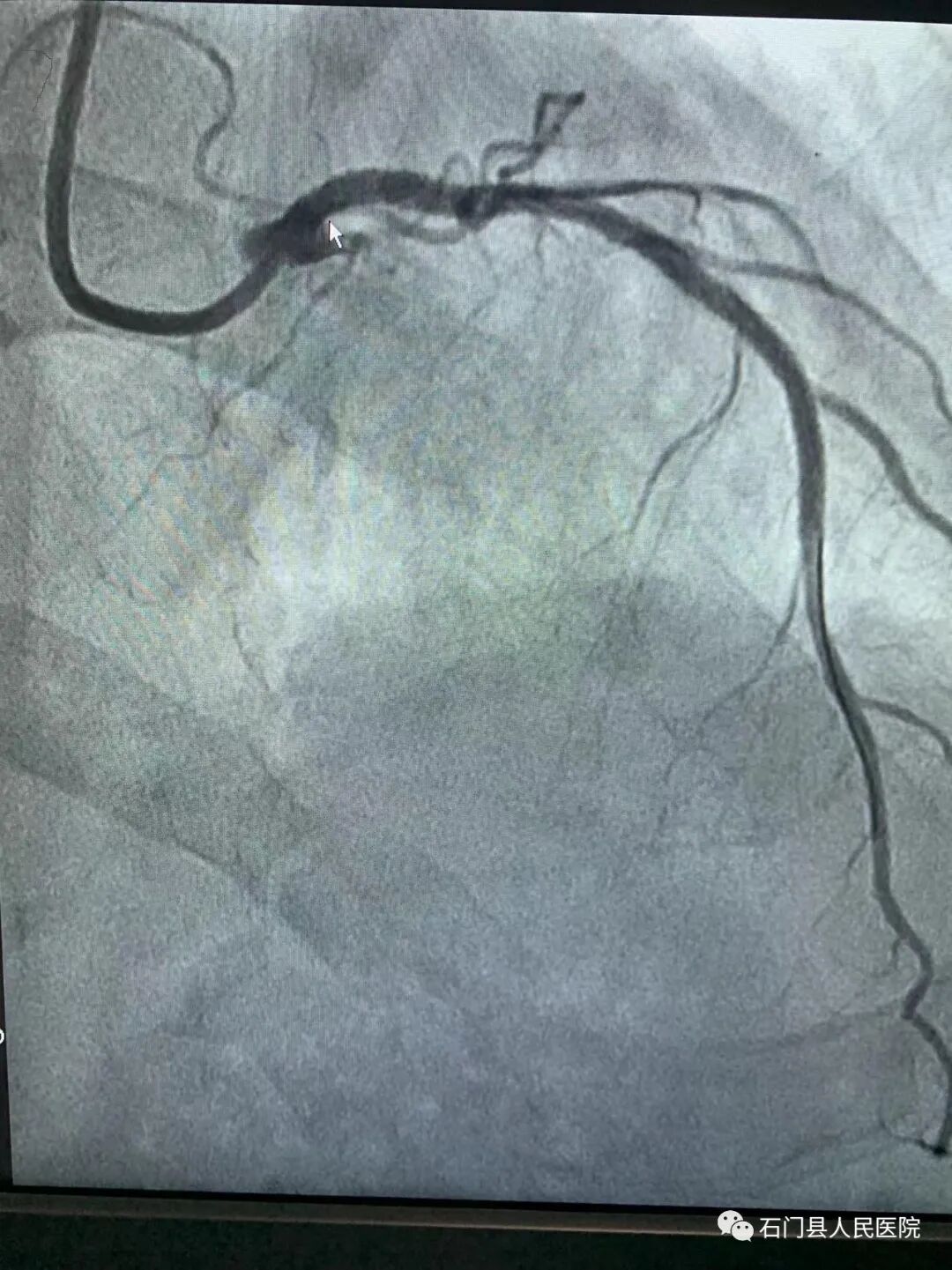
心脏介入
经桡股动脉冠脉造影术、支架植入术、球囊扩张术、主动脉支架置入术,心脏永久起搏器植入术、心脏射频消融术;房间隔缺损封堵术,左心耳封堵术。
神经介入
经股动脉全脑血管造影术、颅内动脉瘤栓塞术、颈动脉取栓术及支架植入术。
外周介入
下肢动/静脉支架植入术、肾动脉支架植入术、肝/脾动脉栓塞术、下腔静脉滤器植入(取出)术,支气管动脉栓塞术,子宫动脉栓塞术。
非血管途径介入
介入下胆总管结石取出术、ercp+十二指肠乳头切开取石术。

石门县人民医院是湘西北地区集医疗、预防、保健、康复、教学、科研于一体的大型县域三级综合医院,系长沙医学院附属医院、国际爱婴医院、卫生部国际紧急救援中心网络医院和中国健康扶贫工程定点医院,拥有全国百佳医院、全国百姓放心示范医院、全国精神文明建设工作先进单位、全国模范职工之家等九张国家级名片。

官方微博

官方微信
Copyright©石门县人民医院.All Rights Reserved 湘ICP备13007174-1号 网站建设:大湘正食网络技术开发部(WWW.BIGBIGOK.COM)